A diez ascienden los contagios de viruela símica en Colombia


El Instituto Nacional de Salud y la Secretaría Distrital de Salud reportaron tres nuevos casos de viruela símica en el país.

Contenido

Los casos identificados se encuentran en Bogotá y uno en Medellín. Ocho de las personas contagiadas tienen antecedente de viaje a Europa o Estados Unidos y dos son contactos de viajeros procedentes de esos dos lugares. A la fecha, en total son 10 los colombianos que han contraído este virus.

“Desde el Distrito Capital se están tomando todas las medidas para evitar cadenas de contagio. A través de la Secretaría de Salud se han realizado las respectivas investigaciones y cercos epidemiológicos, con el propósito de mitigar el riesgo de transmisión comunitaria”, detalló el INS.

De estos 10 casos registrados, cinco ya terminaron su seguimiento y están completamente recuperados y en sus contactos no se encontraron nuevos casos, los otros cinco continúan en cerco epidemiológico.

La recomendación general es continuar con las medidas de prevención y autocuidado. Recordar que la viruela símica se contrae a través del contacto estrecho y mantenido, por ejemplo, cuando se tiene contacto directo con las lesiones o los fluidos de las lesiones, o con las secreciones respiratorias de una persona contagiada.

El factor de riesgo del virus se incrementa con el antecedente de viaje, el contacto estrecho con personas confirmadas para esta condición o que han viajado a países afectados por brotes de viruela símica.

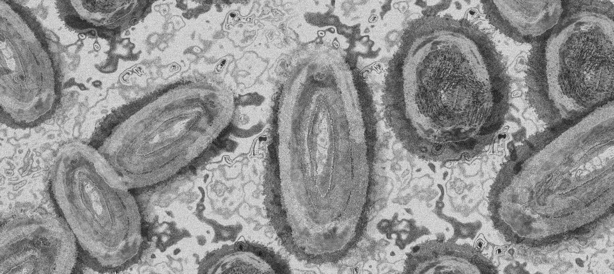
Los síntomas de la viruela símica pueden incluir fiebre en algunos casos, dolor de cabeza intenso, dolores musculares, poca energía, ganglios linfáticos inflamados y unas erupciones cutáneas en forma de lesiones que pueden ser planas o ligeramente elevadas, con líquido transparente o amarillento, que luego forma costras que se secan y se caen.

Las lesiones pueden aparecer en la cara, extremidades, plantas de los pies y palmas de las manos. Pero también se pueden encontrar en la boca y ojos, o en el área genital y perianal.

En caso de presentar síntomas puede acudir al médico. Aunque normalmente los síntomas desaparecen por sí solos en unas pocas semanas, No obstante, en algunas personas puede provocar complicaciones graves.

 

REDACCIÓN CANAL INSTITUCIONAL